- April
- 14
- 2026
(上篇)植牙不只是補牙:數位植牙如何提升成功率?熟齡媽媽植牙完整指南(含實際案例)
.png)
媽媽開始說:「這個太硬我不吃。」或是默默把肉類和堅果推到一旁。
很多人以為只是飲食習慣改變,但牙醫臨床上常見的原因其實是 缺牙或咀嚼力下降。當牙齒狀況影響到飲食,長期下來可能導致營養攝取不足,也會影響生活品質。
隨著牙科技術進步,「數位植牙(Digital Implant Dentistry)」已成為許多牙醫診所採用的治療方式。透過3D影像與電腦模擬,可以在手術前精準規劃植牙位置,降低誤差並提升成功率。
對許多子女而言,替媽媽安排一次牙齒評估,不只是醫療決定,也是一份真正長久的健康禮物。
非美容性質的植牙,更能列舉成為醫療報稅項目,得了健康更少了稅賦負擔一兼兩得。
為什麼50歲後更容易出現缺牙問題?
缺牙在熟齡族群中其實相當常見,主要原因包括:
牙周病盛行率高
根據台灣衛生福利部國民健康署調查,35歲以上成人牙周病盛行率接近80%。牙周病會破壞齒槽骨與牙周組織,嚴重時可能導致牙齒鬆動甚至脫落。
牙齒長期磨耗或裂開
多年咀嚼使用,加上可能有磨牙習慣,牙齒容易出現裂痕。
骨質流失與老化
隨著年齡增加,齒槽骨密度下降,牙齒支撐力也會減弱。
當牙齒缺失後,如果沒有及時處理,可能出現:
.咀嚼效率下降
.鄰牙傾斜
.咬合改變
.中下臉部支撐度降低
因此牙醫通常會建議 缺牙應及早評估重建方式。
植牙是什麼?為什麼成為缺牙後的重要選擇
.png)
植牙是一種將人工植體(通常為鈦金屬)植入齒槽骨,再裝上牙冠的治療方式。
相較於其他缺牙重建方式,植牙具有幾個優勢:
.不需要磨小鄰近健康牙齒
.咀嚼力接近自然牙
.穩定度較高
.可長期使用
對於希望恢復正常飲食與生活品質的熟齡族群來說,植牙是常見的重建方式之一。
但許多人也會擔心:
.植牙會不會失敗?
.手術風險高嗎?
.年紀大還能植牙嗎?
這也是數位植牙技術逐漸受到重視的原因。
數位植牙是什麼?如何降低植牙手術風險
.png)
數位植牙是結合影像科技與電腦規劃的植牙方式,通常包含以下技術:
3D電腦斷層掃描(CBCT)
透過三維影像,醫師可以清楚看到:
.齒槽骨厚度
.神經位置
.植牙空間
電腦模擬植牙位置
在手術前先透過軟體模擬植體角度與位置,降低手術誤差。
.png)
客製化手術導引板
部分案例會製作導引板,協助醫師精準定位植體。
這些數位技術能讓植牙規劃更精準,也能幫助醫師提前預判風險。
.png)
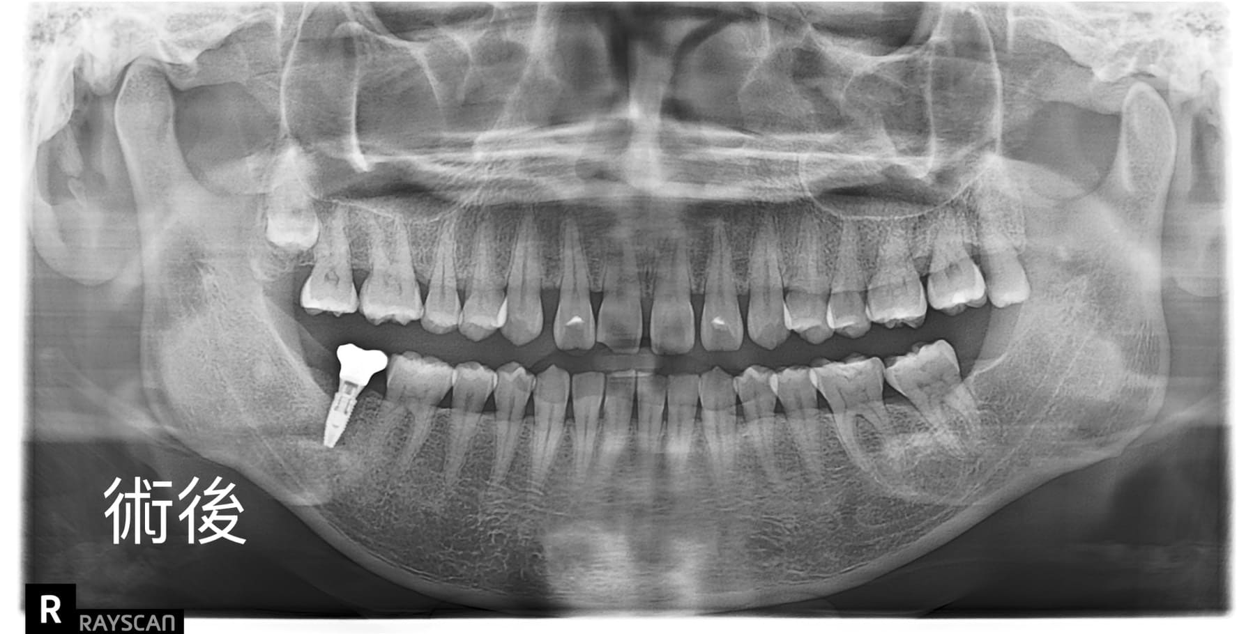
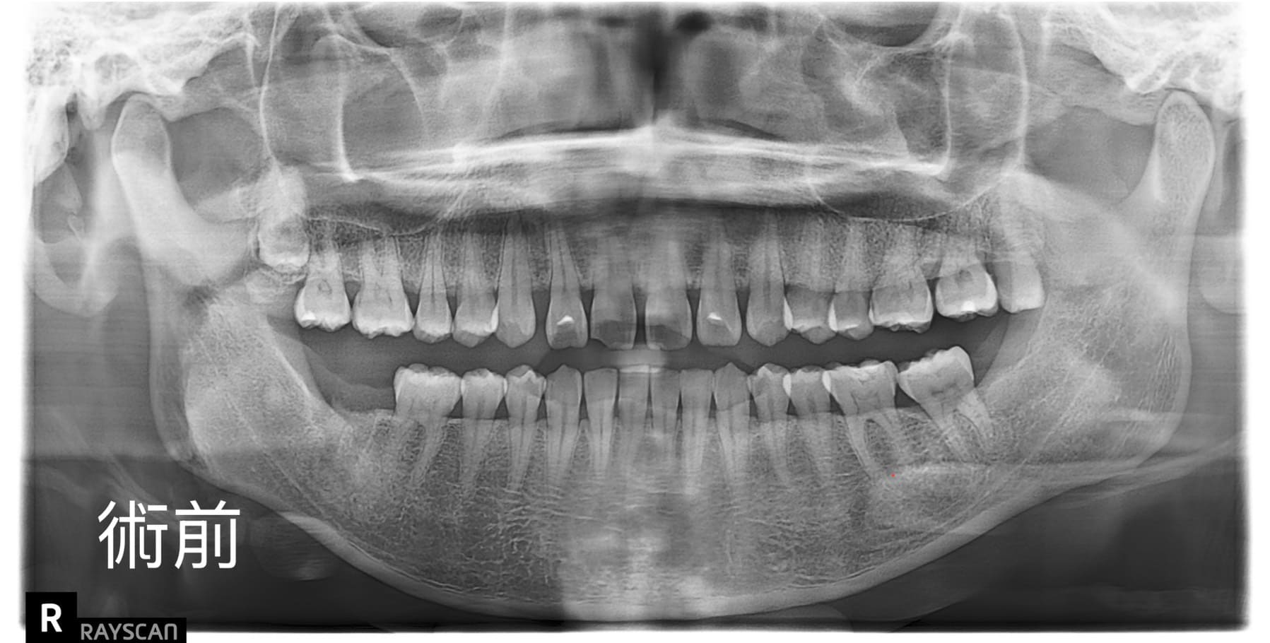
適采牙醫診所數位植牙案例
.jpg)
.jpg)
.jpg)
.jpg)
歡迎加入診所LINE官方帳號預約諮詢
由專業醫師協助評估牙齒狀況,了解適合的治療選擇,讓家人的笑容更安心
植牙成功率高嗎?國際研究怎麼說
植牙已經是發展成熟的牙科治療方式,多項研究顯示其長期成功率相當穩定都有90%以上。
例如:
.一項發表於 Clinical Oral Implants Research 的研究指出,植牙在10年以上的存活率可達 94.6%。
.發表於 Journal of Dental Research 的研究也指出,植牙在適當條件與良好口腔照護下,成功率通常可達 90%以上。
影響植牙成功率的因素包括:
.骨質條件
.牙周健康
.手術規劃精準度
.醫師經驗
.術後口腔清潔
因此完整評估與精準規劃,是提升成功率的重要關鍵。
同時植牙失敗通常來自於後續日常保養未確實、骨質條件不夠、夜間磨牙、醫師經驗不足與會定期回診追蹤...等因素,不是植牙完就一勞永逸囉!
植牙恢復期多久?熟齡族植牙注意哪些評估重點
許多人擔心植牙恢復期很長,但實際情況會依個人條件不同。
一般流程可能包含:
1 初診評估與影像檢查
2 植體手術
3 骨整合期(約3–6個月)
4 裝上正式牙冠
在數位規劃與微創技術下,部分患者術後不適感會較輕微,恢復也更順利。
對於50歲以上族群,牙醫師通常會特別評估以下幾點:
骨量是否足夠
若骨頭厚度不足,可能需要進行補骨或其他輔助治療。
牙周健康狀況
若有牙周病,需要先穩定牙周狀況。
慢性疾病評估
例如糖尿病或心血管疾病,只要控制良好,多數情況仍可安全進行植牙。
透過完整評估,可以降低治療風險並提高成功率。
繼續閱讀:
延伸閱讀:
➤牙周治療新攻略:從牙齦出血到口臭都有救,水雷射牙周病療法守護全家健康
➤牙周病不會自己好,初期治療只要洗牙,別等牙痛、牙鬆才知道自己是高危險族群
➤(上篇)把握6-10歲孩子換牙黃金期省下未來上萬元,台北/新竹兒童矯正牙醫診所推薦
➤(下篇)把握6-10歲孩子換牙黃金期省下未來上萬元,台北/新竹兒童矯正牙醫診所推薦
➤2026 兒童牙科補助萬元全攻略:塗氟、窩溝封填省錢與護齒秘訣
➤【兒童MRC介紹】一篇掌握MRC矯正概念與費用,為孩子的牙齒把關
➤矯正牙齒要花多久?醫師揭露:不同診所差很大,選對醫師差一年!「變美」關鍵不是牙套,是醫師策略
➤咬合不正怎麼辦?3分鐘認識咬合類型、症狀與矯正方法,恢復理想咬合狀態
•本文所刊檔案照片皆為經當事人同意使用,非當事人同意之檔案照片皆有完善保護程序•
我要諮詢
萬人好評

